当院では歯科治療、歯周治療はもちろん、その後の健康維持「メインテナンス」に最も力を入れていきます。
真の予防はしっかりと歯科治療、歯周治療したあと、その口腔内を長期維持することです。
ぜひ、真の予防治療を行っていきましょう!
当院では歯科治療、歯周治療はもちろん、その後の健康維持「メインテナンス」に最も力を入れていきます。
真の予防はしっかりと歯科治療、歯周治療したあと、その口腔内を長期維持することです。
ぜひ、真の予防治療を行っていきましょう!

上のグラフからわかること
50代から80代にかけて急激に歯が減っていく!
80代にいたっては、約10本しか残っていない!
このグラフはあくまでも平均です。
ということは、皆さんもこのグラフのように歯が減っていくことを意味しています。
つまり…

(7,80歳代の平均的なお口)
データ通りだとこのようなお口になる可能性が高いのです

さらに、年齢とともにブリッジや入れ歯の割合が増加しています。
一般的に同じ歯に4,5回歯の治療をすると抜歯になると言われています。
そして歯を失う原因としてもっとも多いのは…

・40代での歯周病の罹患率は80%を越えます
・原因となる歯垢、歯石を除かなければ治りません
・歯を支えている顎の骨を溶かしていきます
・しかも大半が無症状に進行していきます
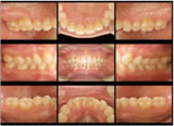
① 口腔内写真

記録として残すことで比較評価ができ、
またパソコン上で拡大してチェックできます。
② 歯周ポケット検査

歯の根の形や支えている顎の骨の高さが分かります。
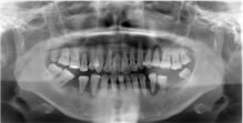
③ レントゲン検査

骨が溶けた所や血が出やすい所、グラグラしている所もチェックしています。
④ 細菌検査

ポケット内の様子を特別な顕微鏡で観察します。
細菌の数や種類をおよそ把握できます
1、歯ぐきから出血しない
2、ポケットが4mm以下
3、顕微鏡で歯周病菌がいない
「何かお口に問題があったときだけ歯医者に行く」という方は、データ通りに歯が失われていきます。
しかし、定期検診(メインテナンス)を受けられている方は、何か問題が起こることを予防でき、健康維持が可能になります
メインテナンスのあるなしでの比較

基本的に歯周の治療と歯の治療とに分かれます。
